Prasklá zubní sklovina: jak ji správně léčit a co dělat hned při prasklině?

Prasklá zubní sklovina: jak ji správně léčit a co dělat hned při prasklině?

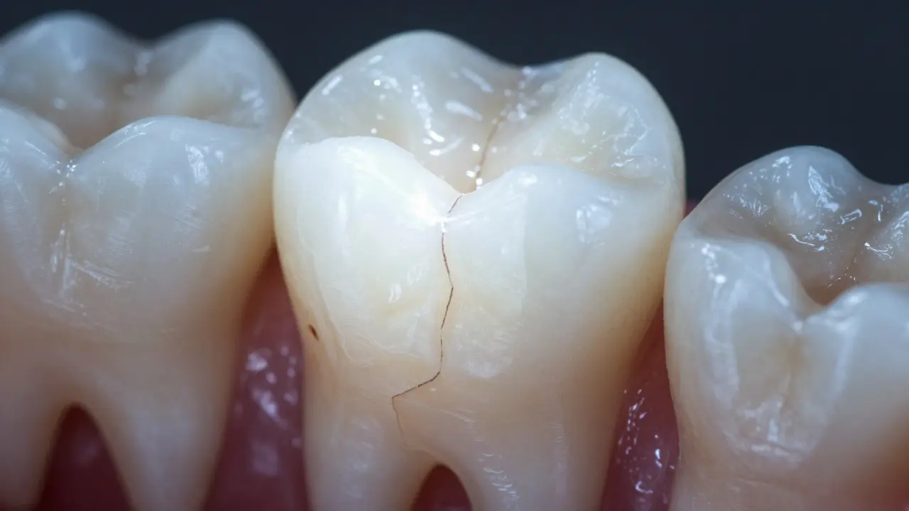
Zkontrolujte prasklinu zubní skloviny

Odpovězte na několik otázek

Zjistěte, zda máte prasklinu v zubní sklovině a co byste měli dělat dle vašich příznaků.

Výsledek

Prasklina v zubní sklovine se může zdát jen malým problémem - ale nezapomeňte: i nejmenší trhliny mohou vést k velkým následkům. Když pocítíte náhlou bolest při jídle, zaznamenáte citlivost na studené nebo horké potraviny, nebo si v zrcadle všimnete tenké čáry na zubu, neignorujte to. Prasklá zubní sklovina není jen estetická vada. Je to zdravotní varování, které se může rychle změnit v infekci, zánět nebo dokonce ztrátu zubu.

Co je vlastně prasklá zubní sklovina?

Zubní sklovina je nejtvrdší tkáň v lidském těle. Její hlavní úloha je chránit zubní dřeň a nervy pod ní. I když je tak pevná, může se rozbít. Praskliny vznikají z různých důvodů: náraz, štěpení tvrdé potravy, bruxismus (zubní škrábání), nebo i jen dlouhodobého stresu na zuby. Některé praskliny jsou viditelné, jiné se skrývají pod povrchem a objeví se až při rentgenovém snímku.

Praskliny se dělí podle hloubky a směru. Nejčastější typy jsou:

  • Trhliny v povrchu (craze lines) - jen na sklovine, nebojte se, nevyžadují léčbu.
  • Praskliny, které sahají k dentynu - způsobují citlivost a bolest.
  • Praskliny, které sahají až k zubnímu kořeni - nebezpečné, často vedou k infekci.
  • Vertikální praskliny - jdou od korunky k kořeni, často neviditelné, ale závažné.

Právě ty poslední jsou ty, které mohou zub zcela zničit. A proto je důležité je identifikovat co nejdříve.

Co vás může varovat, že máte prasklinu?

Není vždy jasné, že máte prasklinu. Některé příznaky jsou přímo přímo spojené s touto vadou:

  • Náhlá bolest při žvýkání - zvláště když uvolníte zubní tlak.
  • Citlivost na teploty - studené nebo horké potraviny vyvolávají ostrou bolest, která trvá několik sekund.
  • Bolest, která přichází a odchází - není stálá, ale opakuje se.
  • Zvýšená citlivost na sladké - pokud jste dříve neměli problémy s karií, ale teď sladké způsobují bolest, může to být prasklina.
  • Viditelná čára na zubu - při dobrém osvětlení a v zrcadle si můžete všimnout tenké, často bílé nebo žluté čáry.

Nezapomeňte: pokud bolest přichází jen při jídle a jinak nic nebojíte, neznamená to, že to není vážné. Naopak - to je často přesně ten čas, kdy prasklina začíná pronikat hlouběji.

Co dělat, když si všimnete praskliny?

Nejlepší věc, kterou můžete udělat hned, když si všimnete praskliny, je navštívit zubního lékaře. Ale co dělat, dokud nejste u něj?

  1. Nežvýkejte na tom zubu - používejte opačnou stranu čelisti, aby jste nezatěžovali poškozený zub.
  2. Vyhněte se extrémním teplotám - nejíte ani ne pijte příliš horké ani studené věci.
  3. Používejte zubní pastu pro citlivé zuby - obsahuje strukturní látky, které dočasně uzavírají mikrotrhliny a snižují bolest.
  4. Nečistěte zub agresivně - používejte měkkou kartáček a jemný pohyb. Nezatěžujte prasklinu.
  5. Neberete léky proti bolesti bez potřeby - můžou maskovat příznaky, ale neřeší příčinu.

Pokud prasklina způsobuje silnou bolest, můžete si dočasně zkusit přiložit chladný obklad na tvář - ale jen na pár minut. Nezakládejte led na zub, to může zhoršit poškození.

Zubní lékař prohlíží prasklinu v zubu pomocí zvětšovací čočky

Jak lékař prasklinu léčí?

Léčba praskliny závisí na její hloubce a směru. Neexistuje jedno řešení pro všechny případy.

Malé praskliny na povrchu (craze lines) - nevyžadují léčbu. Lékař vás pouze ujistí, že se nebudou rozšiřovat. Doporučí pravidelné kontroly.

Praskliny, které sahají do dentynu - lékař obvykle použije kompozitní plombu. Toto je bílá náplň, která se přizpůsobí tvaru zubu a uzavře prasklinu. Plomba chrání zub před dalším poškozením a odstraňuje citlivost.

Hluboké praskliny, které ohrožují zubní nerv - může být nutná kořenová léčba. Lékař odstraní poškozený nerv, vyčistí kanály a zub zapečetí. Po této léčbě se zub často zakryje korunkou, aby se nezlomil.

Vertikální praskliny až ke kořeni - tyto jsou nejzávažnější. Pokud se prasklina táhne podél kořene, zub často nelze zachránit. V takovém případě je nutná extrakce. Následně se může zvážit náhrada implantací nebo můstkem.

Nezapomeňte: čím dříve prasklinu detekujete, tím jednodušší a levnější je léčba. Kompozitní plomba stojí několik stovek korun, zatímco implantace může stát desetitisíce.

Co můžete udělat, aby se praskliny nevyskytovaly?

Prevence je vždy lepší než léčba. Ať už jste měli prasklinu nebo ne - tyto kroky vám pomohou zubní sklovinu chránit:

  • Používejte noční štít - pokud škrábáte zuby ve spánku, štít je jediná účinná ochrana. Není to luxus, je to lékařská potřeba.
  • Nechte si zuby zkontrolovat každých 6 měsíců - nejen kvůli karii. Lékař může včas vidět začínající prasklinu, kterou vy nevidíte.
  • Nežvýkejte led, ořechy, kosti nebo tvrdé bonbony - to je jedna z nejčastějších příčin prasklin.
  • Používejte zubní kartáček s měkkými vlásenky - agresivní čištění může poškozovat sklovinu.
  • Udržujte dostatek vápníku a vitamínu D - zdravá strava podporuje tvrdost zubů.

Je pravda, že některé praskliny vznikají náhodně - ale mnohé z nich jsou způsobeny opakovaným zatěžováním. Pokud máte zvyk kousat tužky, otevírat lahve zuby nebo jíst tvrdé potraviny, změňte to hned.

Co se stane, když prasklinu ignorujete?

Ignorování praskliny není jen o nechápání - je to riziko.

Prasklina se postupně prohlubuje. Bakterie pronikají dovnitř zubu, způsobují zánět nervu, který se pak rozšíří do čelisti. Výsledek? Infekce, absces, bolest, která se šíří do ucha nebo hlavy, a nakonec - ztráta zubu.

Podle studií z Journal of Endodontics se až 30 % zubů s nezachycenou prasklinou během dvou let stane nezachránitelných. To znamená, že každý třetí zub, který se považuje za „jen prasklinu“, skončí v koši.

Nejenže ztratíte zub - můžete také ztratit čas, peníze a pohodlí. Léčba v pozdní fázi je náročnější, dražší a bolestivější. A to vše se dá vyhnout jednoduchou návštěvou u zubního lékaře.

Koncepční obrázek chráněného zubu s prasklinou a bakteriemi

Když se rozhodnete jít k lékaři - co očekávat?

Nebojte se návštěvy. Dnes je léčba prasklin velmi přesná a bezbolestná.

Lékař nejprve provede vizuální prohlídku a položí vám otázky: kdy se bolest objevuje? Co ji vyvolává? Máte zvyk škrábání zubů? Poté použije speciální světlo nebo zvětšovací čočku, aby lépe viděl prasklinu. Pokud je potřeba, udělá rentgen nebo použije diagnostický barvivý roztok, který se dostane do praskliny a zvýrazní ji.

Nikdy se nebojte položit otázku: „Je to opravdu prasklina?“ Nebo „Můžeme to nejdřív zkontrolovat, než začneme léčit?“ Dobrý lékař vám vše vysvětlí a nevyžaduje náhodné zákroky.

Co se stane po léčbě?

Po vyplnění praskliny kompozitní plombou můžete začít jíst hned. Plomba se tvrdí pod světlem a je okamžitě funkční. Můžete cítit jemnou nerovnost - to je normální. Tělo se k ní přizpůsobí během několika dní.

Pokud jste dostali korunku, bude potřeba několik návštěv. Nejprve se zub upraví, pak se vyrobí korunka, a nakonec se zasune. V té době budete mít dočasnou náplň - nejíte na tom zubu tvrdé potraviny.

Po léčbě je důležité dodržovat hygienu. Čistěte zuby dvakrát denně, používejte nit a navštěvujte lékaře každých šest měsíců. Zub s prasklinou je citlivější - potřebuje větší péči.

Je možné prasklinu léčit doma?

Ne. Žádný domácí prostředek - ani zubní pasta, ani olej, ani čaj, ani sůl - nezavře prasklinu. Tyto metody mohou dočasně zmírnit bolest, ale neřeší příčinu. Pokud vám někdo radí „natřít zub olejem“ nebo „zakrýt prasklinu lepidlem“, jde o nebezpečnou a nebezpečnou radu. Může to způsobit infekci, kterou pak bude těžké vyléčit.

Prasklina není problém, který se dá „vyléčit“ doma. Je to lékařský problém, který vyžaduje profesionální zásah. Nechte si to lékaře udělat - to je jediná bezpečná cesta.

Může prasklá zubní sklovina zaniknout sama?

Ne. Zubní sklovina se neobnovuje. Když se praskne, nezaznamená se samooprava. I když bolest zmizí, prasklina zůstává - a může se prohlubovat. Ignorování ji nevyřeší, jen způsobí, že problém bude horší.

Je prasklina v zubu stejná jako karié?

Ne. Karié je rozklad skloviny způsobený bakteriemi a kyselinou. Prasklina je mechanické poškození - jako když se rozbije sklo. Ale obě vady mohou vést k stejným následkům: infekci, bolesti a ztrátě zubu. Prasklina dokonce může usnadnit vniknutí bakterií, takže se karié může rychleji rozšířit.

Jak dlouho trvá léčba praskliny?

Záleží na typu. Malá prasklina s plombou se vyřeší za jednu návštěvu - to je 30 až 60 minut. Pokud je potřeba korunka, trvá celý proces 2-3 návštěvy během dvou týdnů. Kořenová léčba může trvat 1-2 návštěvy, každá po 60-90 minutách.

Může prasklina způsobit zápach z úst?

Ano. Pokud prasklina umožní bakteriím proniknout do zubního jádra, může dojít k infekci. Ta vytváří hnis, který má charakteristický zápach. Pokud máte zápach z úst bez karié, měli byste zkontrolovat zubní sklovinu.

Je bezpečné plombovat prasklinu, pokud mám citlivé zuby?

Ano, a je to přesně to, co se dělá. Kompozitní plomba je navržená tak, aby se přizpůsobila citlivým zubům. Lékař použije materiál, který minimalizuje další podráždění. Pokud máte citlivost, řekněte lékaři před léčbou - upraví techniku, aby byla jemnější.

Prasklá zubní sklovina není výjimka - je to běžný problém, který se dá vyřešit. Ale jen pokud ho neignorujete. Každý zub je důležitý - a každá prasklina je signál, že je čas jednat. Nečekáte, až bude bolet víc. Jděte k lékaři hned, když si všimnete něčeho neobvyklého. Váš zub vám za to bude vděčný.