Veneery zuby: Jaké jsou možnosti a co si vybrat?

Veneery zuby: Jaké jsou možnosti a co si vybrat?

Veneery: Kalkulačka cen a životnosti

Vypočítejte své náklady na veneery

Zadejte typ veneeru a počet zubů, které chcete upravit. Kalkulačka zobrazí přibližné náklady a očekávanou životnost.

Když se podíváte do zrcadla a nejste spokojení s barvou, tvarem nebo uspořádáním svých zubů, veneery mohou být přesně to, co potřebujete. Nejde o něco, co by se používalo jen pro slavnostní příležitosti. Dnes jsou veneery běžnou volbou lidí, kteří chtějí přirozeně vypadající, trvalou úpravu svého úsměvu - bez ortodontie, bez dlouhých léčebných procesů a bez výrazného zásahu do zubů. Ale jaké jsou skutečné možnosti? A co vlastně znamená, když řeknete „veneery“?

Co jsou vlastně veneery zuby?

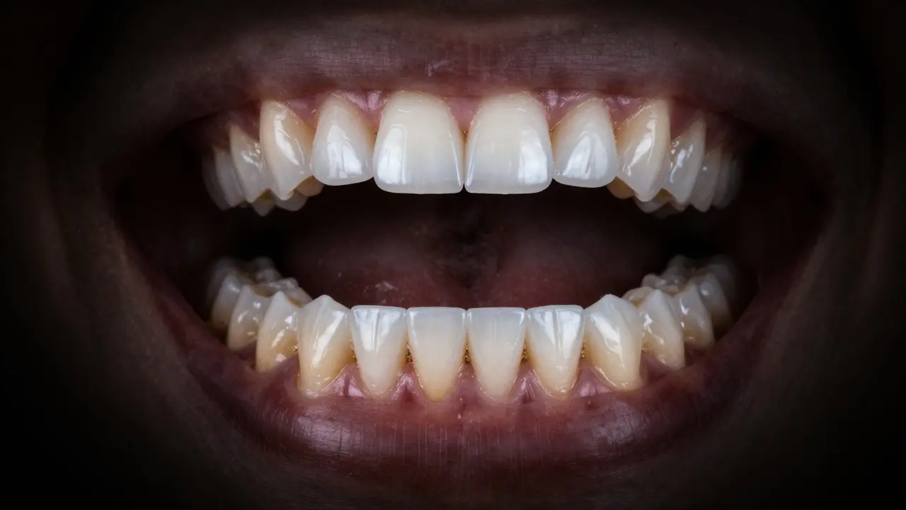
Veneery zuby jsou tenké plátky materiálu, které se přilepují na přední povrch zubu. Slouží k zastřeňování vad, jako je ztmavení, štěrbiny, nepravidelný tvar nebo mírné šikmosti. Nejsou to celé korunky - neodstraňují velké množství zubní tkáně. Místo toho se chovají jako kosmetický obal, který změní vzhled zubu, aniž by ho příliš změnil.

Veneery se používají hlavně na předních zubech, kde je úsměv nejvíce vidět. Nejsou vhodné pro zuby, které mají velké plomby, silnou kávovou barvu nebo závažné poškození. V takových případech se doporučuje korunková léčba. Ale pro mírné estetické problémy? Veneery jsou jednou z nejefektivnějších možností, které dnes nabízí stomatologie.

Jaké materiály se používají?

Nejčastější dva materiály pro veneery jsou kompozit a keramika. Každý má své výhody a nevýhody.

  • Kompozitní veneery - jsou vyrobeny ze stejného materiálu jako plomby. Vyrábějí se přímo v ústech, během jedné návštěvy. Mají nízkou cenu, ale nejsou tak odolné jako keramika. Mohou se barvit za pár let, zejména u kouřáků nebo lidí, kteří piji hodně černého čaje nebo červeného vína.
  • Keramické veneery - jsou vyráběny v zubním laboratoři z porcelánu. Vyžadují dvě návštěvy: jednu pro přípravu a odlití, druhou pro nalepení. Jsou odolnější, mají přirozenější lesk a odolávají barvení. Dlouhodobě jsou levnější, protože trvají 10-15 let, někdy i déle.

U keramických veneerů se někdy používá i lithium disilicate - nový typ keramiky, která je ještě pevnější a umožňuje ještě tenčí výrobu. To znamená, že zubu je třeba odstranit ještě méně tkáně, což je výhoda pro dlouhodobé zdraví zubu.

Kdo je vhodný kandidát?

Není každý vhodný pro veneery. Pokud máte některou z těchto situací, může být lepší volba něco jiného:

  • Časté brnění zubů (bruxismus) - může vést k poškození veneerů
  • Velké plomby nebo značné poškození zubu - zde je lepší korunková léčba
  • Špatná hygiena - veneery nejsou odolné vůči kariésu, pokud se nečistí
  • Nezdravé dásně - pokud máte zánět dásní, je třeba to nejprve léčit

Nejlepší kandidáti jsou lidé, kteří mají zdravé zuby, dobré zubní hygieny, ale chtějí zlepšit barvu nebo tvar. Například: mladá žena, která má zuby trochu šedé po léčbě antibiotikami v dětství, nebo muž, který má mírně překrývající se zuby a nechce nosit bráčky.

Jak probíhá léčba?

Proces se liší podle materiálu. U keramických veneerů to vypadá takto:

  1. První návštěva: Stomatolog zkontroluje vaše zuby, udělá rentgen, zjistí, zda je vše v pořádku. Poté odstraní velmi tenkou vrstvu zubní skloviny - obvykle 0,3-0,7 mm. To je potřeba, aby veneer přilnul pevně. Pak se udělá odlitek nebo digitální sken.
  2. Druhá návštěva (po 1-2 týdnech): Veneery jsou hotové. Stomatolog je zkouší na zubech, upraví tvar, barvu a přilepí je speciální lepidlem. Proces je bezbolestný. Někdy se doporučuje lehce citlivé zuby na teplotu, ale to přejde za pár dní.

U kompozitních veneerů se vše děje během jedné návštěvy. Stomatolog přímo na zubu vytváří tvar, formuje a tuhne materiál pomocí světla. Výsledek je okamžitý, ale je potřeba ho častěji opravovat.

Dva přední zuby vedle sebe: jeden přirozený a jeden s tenkou keramickou vrstvou, která zlepšuje barvu a tvar.

Cena a délka životnosti

Ceny se liší podle materiálu, místa a zkušenosti stomatologa. V České republice v roce 2026 je průměrná cena takto:

Srovnání cen a životnosti veneerů v ČR (2026)
Typ veneeru Cena za jeden zub (Kč) Životnost Průměrná doba výroby
Kompozitní 3 500 - 6 000 5 - 7 let 1 den
Keramický (porcelán) 8 000 - 14 000 10 - 15 let 10 - 14 dní
Lithium disilicate 12 000 - 18 000 15+ let 10 - 14 dní

Je důležité si uvědomit, že cena nezahrnuje přípravu - například odstranění zubního kamene, léčbu zánětu dásní nebo bílení. Tyto kroky mohou být potřeba před vložením veneerů. Některé kliniky nabízejí balíčky „vše v ceně“, ale vždy se zeptejte, co je zahrnuto.

Co se stane po vložení?

Po vložení veneerů nebudete mít všechno hned perfektní. První dny můžete cítit, že zuby jsou „těžší“ nebo že se vaše řeč trochu změnila. To je normální. Tělo se přizpůsobuje novému tvaru. Během týdne se to obvykle vyrovná.

Nezapomeňte na pravidelnou hygienickou péči. Veneery nejsou odolné vůči kariésu. Pokud se pod nimi začne rozvíjet kariés, může dojít k ztrátě zubu. Čistěte je jako normální zuby - dvakrát denně, nitě a pravidelné čištění u zubního hygienika každých 6 měsíců.

Nezakládejte se na „nebudeš muset nic dělat“. Veneery vyžadují stejnou péči jako vaše přirozené zuby - možná i víc, protože jsou drahé.

Jaké jsou rizika?

Veneery jsou bezpečné, ale nejsou bez rizik:

  • Nevratné změny: Odstranění zubní skloviny je trvalé. Pokud se rozhodnete veneery odstranit, budete potřebovat korunky.
  • Chybná výroba: Pokud je veneer příliš tlustý nebo špatně přilepený, může vést k podráždění dásní nebo bolesti.
  • Odlepení: I když je vzácné, může se stát, že veneer spadne. To se obvykle stane při nárazu nebo při brnění. Pokud se to stane, nezkoušejte ho přilepit doma - obraťte se na stomatologa.

Největší chyba, kterou lidé dělají, je volba levného řešení bez kvalifikovaného stomatologa. Veneery nejsou „přímočarý“ zákaz. Vyžadují přesnost, zkušenosti a pochopení vaší ústní anatomie.

Tři vrstvy předního zubu: původní, při aplikaci a dokončený výsledek s přirozeným leskem.

Co je lepší: veneery nebo bílení?

Ne všichni si uvědomují, že bílení zubů a veneery řeší úplně jiné problémy.

  • Bílení funguje jen na barvu - pokud máte zuby tmavé, ale správný tvar, bílení je ideální. Je to levné, neinvazivní a výsledek je vidět za týden.
  • Veneery řeší barvu, tvar, velikost a dokonce i mírné šikmosti. Ale nejsou vhodné pro silně tmavé zuby, pokud nejsou předem připraveny.

Často se dělá kombinace: nejprve bílení, pak veneery na zuby, které se nezbílí. To dává nejpřirozenější výsledek.

Co dělat, když si nejste jistí?

Nejlepší krok je konzultace s estetickým stomatologem. Nechte si udělat digitální simulaci - dnes to většina klinik umí. Uvidíte, jak budete vypadat po vložení veneerů, než se rozhodnete.

Nezapomeňte se zeptat na předchozí případy. Dobrý stomatolog vám ukáže fotky pacientů, kteří měli podobné potíže jako vy. A nechte si vysvětlit, proč vybral právě ten materiál - ne jen to, co je nejdražší nebo nejlevnější.

Co je další krok?

Když se rozhodnete pro veneery, nečekáte na „někdy“. Zobrazí se vám výsledek rychle - a může změnit nejen váš úsměv, ale i to, jak se cítíte. Mnoho lidí, kteří si daly veneery, říká, že se víc usmívají, víc mluví a dokonce se víc odváží vstoupit do sociálních situací.

Nejde o to, že byste měli být „perfektní“. Ale o to, že byste měli mít zuby, které vám umožňují být sebou. A to je všechno, co skutečně potřebujete.

Jsou veneery bolestivé?

Ne. Příprava zubu je provedena s místním anestetikem, takže nečíte žádnou bolest. Po vložení můžete cítit lehkou citlivost na teplotu, ale to přejde za pár dní. Není to jako odstranění zubu - je to jemná úprava.

Můžu si dát veneery jen na některé zuby?

Ano. Veneery se dávají často jen na horní přední zuby, které jsou vidět při úsměvu. Někdy se doplňují i na spodní zuby, ale to závisí na vašem úsměvu a finančních možnostech. Stomatolog vám pomůže rozhodnout, kolik jich potřebujete.

Můžu jíst normálně po vložení veneerů?

Ano, ale s opatrností. V prvních dnech se vyhněte tvrdým potravinám, jako jsou oříšky, kostky nebo kousnutí do jablka. Po týdnu můžete jíst normálně, ale i nadále se vyhýbejte špinavým návykům - například otevírání lahví zuby nebo hryzání nehty.

Můžou veneery padat?

Velmi vzácně, pokud jsou správně přilepené. Pokud se to stane, nezkoušejte je přilepit doma. Uložte je v mlece a obraťte se na stomatologa. Často je možné je znovu přilepit, ale je potřeba zkontrolovat, zda není poškozený zub pod nimi.

Jsou veneery pokryty zdravotním pojištěním?

Ne. Veneery jsou estetická léčba, takže je zdravotní pojištění nekryje. Je to vždy záležitost samoplatce. Některé kliniky nabízejí splátkové programy, které usnadňují platbu.