Jaký je vliv špatné ústní hygieny na mezizubní kaz? Vše, co potřebujete vědět

Jaký je vliv špatné ústní hygieny na mezizubní kaz? Vše, co potřebujete vědět

Výpočet rizika mezizubního kazu

Zjistěte své riziko mezizubního kazu

Proveďte tento krátký test a zjistěte, jak je váš zubní zdraví v riziku. Více informací v článku "Jaký je vliv špatné ústní hygieny na mezizubní kaz?".

Mezizubní kaz je jedna z nejčastějších příčin ztráty zubů u dospělých, a přitom ho můžeš skoro úplně vyhnout. Většina lidí si myslí, že kaz se tvoří na vrcholku zubu, kde ho vidíš. Ale pravda je jednoduchá: nejčastěji se kaz rozvíjí tam, kde čistíš nejlépe - mezi zuby. A proč? Protože tam se shromažďuje plak, který se nedaří odstranit běžným čištěním zubní kartáček.

Proč mezizubní kaz vzniká?

Když jíš, zbytky jídla zůstávají mezi zuby. Tyto zbytky nejsou jen nehezké - jsou potravou pro bakterie. Tyto bakterie v plaku přeměňují cukry na kyseliny, které pomalu rozežírají sklovinu zubu. A protože mezizubní prostory nejsou přístupné běžnému kartáčku, plak tam zůstává dny i týdny. Tam, kde se plak nečistí, se kyselina neustále vyrábí. A za pár měsíců máš na místě, kde se zuby dotýkají, malou dírku - to je mezizubní kaz.

Nejčastěji se to děje u těch, kdo se čistí zuby jen ráno a večer, ale mezi zuby nečistí vůbec. Nebo těch, kdo používají kartáček, ale nevědí, jak správně použít zubní nit nebo mezizubní kartáček. Výsledek? Kaz, který začíná jako malá bílá skvrna - a skrytý pod dásní. Až ho zubní lékař objeví na rentgenu, je už příliš pozdě na jednoduché vyplnění.

Co se stane, když mezizubní kaz necháš být?

Když necháš mezizubní kaz beze změny, nepřijde jen o malou dírku. Přijdeš o zub. A to nejen proto, že se kaz šíří do nitra zubu, ale protože se rozšiřuje i do dásně. Bakterie se dostanou mezi zub a dásen, způsobí zánět - parodontozy. Dásně se začnou stahovat, zub se uvolňuje, a časem padne. To není sci-fi. To je každodenní realita pro tisíce lidí, kteří si mysleli, že „když nebolí, tak je všechno v pořádku“.

Mezizubní kaz je také hlavní příčinou potřeby kořenového kanálu. Když se kaz dostane až k nervu, zub začne bolet - často silně a náhle. A pak už není jiná možnost, než ho „vyléčit“ zákrokem, který stojí tisíce korun a trvá několik návštěv. A i po tomto zákroku zůstává zub křehký a ohrožený. Nejlepší řešení? Předcházet tomu.

Co opravdu funguje proti mezizubnímu kazu?

Není potřeba nic složitého. Stačí tři věci, které každý může udělat každý den:

  1. Čistit mezizubní prostory každý večer - nejen ráno. Plak se tvoří během noci, kdy se sliny nevyrábějí tak intenzivně. Bez čištění mezi zuby se bakterie mohou klidně rozmnožovat 12 hodin.
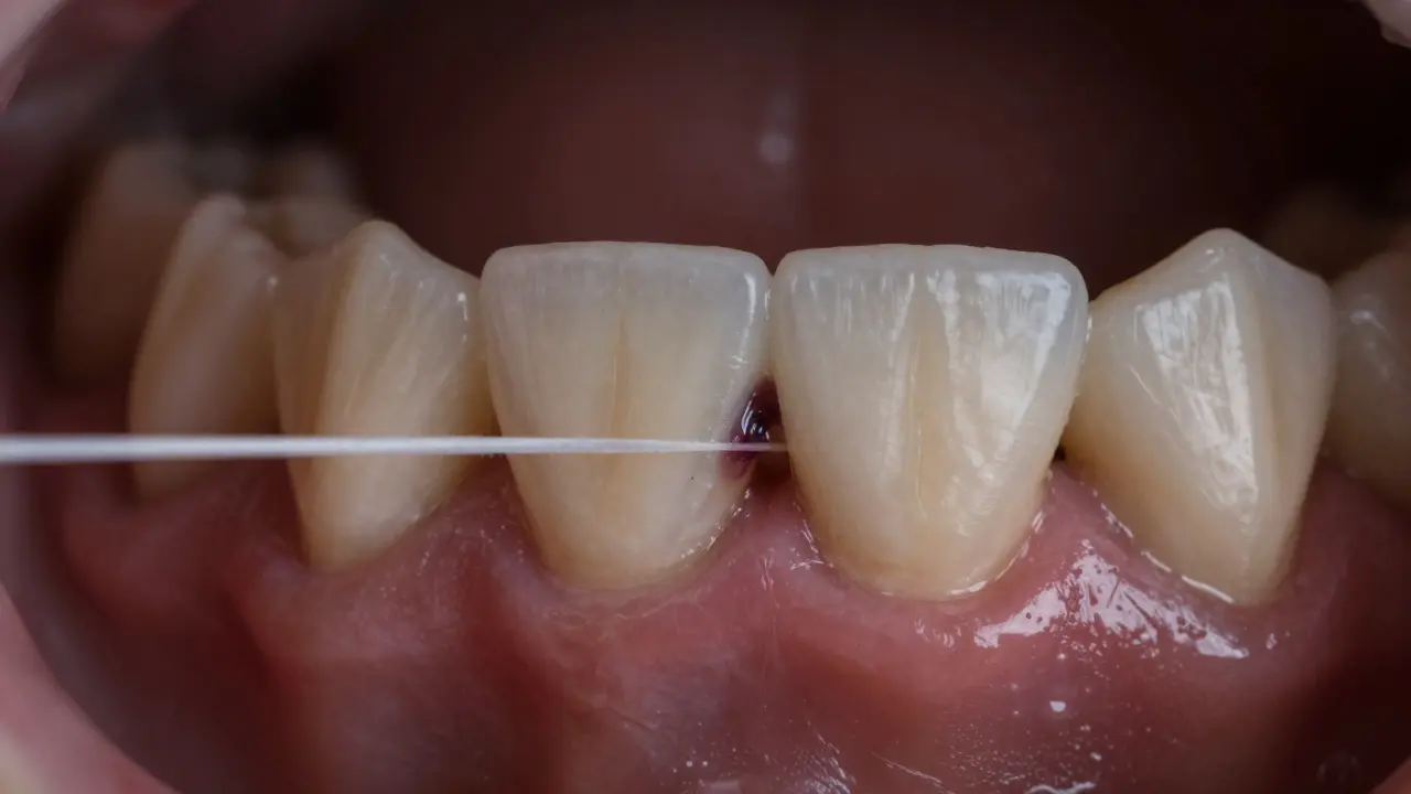
  2. Používat zubní nit nebo mezizubní kartáček - ne jen kartáček. Kartáček odstraní jen 60 % plaku. Zbytek je v místech, kam kartáček nedosáhne. Zubní nit nebo mezizubní kartáček odstraní až 90 %. To je rozdíl mezi tím, abys měl kaz, a tím, abys ho neměl.
  3. Nečistit zuby hned po jídle - pokud jsi snědl něco kyselého (např. ovoce, limonáda, káva), počkej 30 minut. Kyselina z jídla zjemňuje sklovinu. Pokud ji hned čistíš, můžeš ji „odškrábat“. Počkej, až se sliny zase zneutralizují kyselost.

Nezapomeň také na zubní pasta s fluoridem. Fluorid pomáhá zubní sklovině se obnovovat - dokonce i v případě malých poškození. Ale jen pokud ji máš na zubech alespoň 2 hodiny. Proto nepláchni ústa po čištění. Nech fluorid působit.

Skrytý kaz se šíří mezi zuby, bakterie v plaku ničí sklovinu

Proč lidé nečistí mezizubní prostory?

Většina lidí říká: „Nevím, jak to dělat.“ Nebo: „Bolí mě to.“ Nebo: „Nemám čas.“

Problém není v nevědomosti. Problém je v tom, že nikdo ti neukázal, jak to dělat správně. Mnoho lidí používá zubní nit jako provázek - tahají jí dopředu a dozadu. To je špatně. Správně se nit zavádí mezi zuby jemně, obklopuješ zub křivkou ve tvaru písmene C, a pak jí jemně posouváš nahoru a dolů - ne taháš. Pokud ti to bolí, pravděpodobně máš zánět dásní. To není důvod, aby ses vzdal - to je důvod, abys to začal dělat pravidelně. Za týden se dásně zahojí a bolest zmizí.

Co se týče času: čištění mezi zuby trvá 90 sekund. Méně než jeden zpěv „Happy Birthday“. A to je cena, kterou platíš za to, abys měl zuby celé až do 80 let. Nebo za to, abys nebyl nucen vyměnit zub za implantát, který stojí 15 000 Kč.

Když už máš mezizubní kaz - co dělat?

Nejprve - nepanikař. Mezizubní kaz se dá většinou včas zachytit. Pokud je malý a ještě nezasáhl do hlubších vrstev zubu, lékař ho může vyplnit stejně jako běžný kaz - jen z jiného směru. Někdy je potřeba zubní rentgen, aby se zjistilo, jak hluboko kaz sahá.

Pokud je kaz větší, může být potřeba inlay nebo korunka. V extrémních případech - odstranění zubu. Ale to je vždy poslední možnost. A většinou je to výsledek toho, že se člověk rozhodl „počkat“.

Nejlepší krok? Jít k zubnímu lékaři. Ne proto, že ti něco bolí. Protože právě když nic nebolí, je nejlepší čas na prevenci. V Česku máš nárok na dvě zubní prohlídky ročně zdarma. Využij je. Nečekaj na bolest.

Kontrast mezi zdravým úsměvem a skrytými důsledky špatné hygieny

Co dělat, když máš zubní náhradu?

Když máš most, protézu nebo implantát, myslíš si, že mezizubní kaz už tě netrápí? Není pravda. Plak se tvoří i kolem implantátů - a způsobuje perimplantitidu, což je zánět kosti kolem implantátu. To může vést k jeho ztrátě. I když máš umělý zub, musíš čistit mezi ním a přirozenými zuby. Používej speciální mezizubní kartáčky pro implantáty nebo nit s příchytkou - jsou navržené tak, aby se daly proplétat kolem náhrad.

Co si pamatovat?

Mezizubní kaz není náhoda. Je to důsledek chybějícího kroku - čištění mezi zuby. Každý, kdo to dělá pravidelně, má výrazně nižší riziko kazů, zánětů a ztráty zubů. A to nejen proto, že se odstraňuje plak. Ale protože tím chráníš i dásně, kost a celou ústní dutinu.

Není potřeba koupat se v fluoridu, kupovat drahé pasty nebo čistit zuby 5x denně. Stačí:

  • Čistit zuby dvakrát denně - ráno a večer
  • Čistit mezizubní prostory jednou denně - vždy večer
  • Nepláchnout ústa po čištění
  • Nečistit zuby hned po kyselém jídle
  • Chodit na prohlídku každých 6 měsíců

Tyto kroky ti nezajistí dokonalé zuby - ale zaručí ti, že tvoje zuby ti budou sloužit celý život. A to je víc než jen „nebýt s kazem“.

Je pravda, že mezizubní kaz nebolí, dokud není příliš pozdě?

Ano. Mezizubní kaz začíná jako malá bílá skvrna pod dásní, kde není žádné nervy. Nebojíš se, protože nebolí. Až se kaz dostane k nervu, začne bolet - ale v tu chvíli je už zub vážně poškozený. Právě proto je důležité kontrolovat mezizubní prostory na zubním rentgenu, i když nic nebolí.

Může zubní nit poškodit dásně?

Pouze pokud ji používáš špatně. Pokud ji taháš jako provázek nebo silně tlačíš do dásně, můžeš ji poškodit. Správně se zavádí jemně, obklopuješ zub ve tvaru písmene C a jemně ji posouváš nahoru a dolů. Pokud ti dásně krvácejí, znamená to zánět - ne to, že nit je špatná. Pokračuj v čištění - za 7-10 dní krvácení zmizí.

Je lepší zubní nit nebo mezizubní kartáček?

Oboje funguje. Zubní nit je lepší pro úzké mezery, mezizubní kartáček pro širší mezery nebo při zubních náhradách. Pokud nevíš, co použít, zeptej se svého zubního hygienika. Většina lidí potřebuje obě - nit pro přední zuby a kartáček pro zadní.

Proč se mezizubní kaz tvoří hlavně mezi zuby?

Protože kartáček nedosáhne do těchto míst. Plak se tam hromadí, protože tam nejsou sliny, které by ho oplachovaly. A bakterie v plaku vyrábějí kyselinu, která rozežírá sklovinu - ale jen tam, kde se nečistí. Mezi zuby je ideální prostředí pro kaz - tma, vlhko, potrava a žádné čištění.

Může špatná ústní hygiena způsobit i jiné problémy než kaz?

Ano. Plak a zánět dásní se mohou rozšířit do krevního oběhu a přispět k zánětům v srdci, cukrovce nebo dokonce k předčasnému porodu. Výzkumy ukazují, že lidé s chronickým zánětem dásní mají vyšší riziko srdečních onemocnění. Ústní hygiena není jen o zubech - je to o celkovém zdraví.